Featured Post

28+ Anime Wallpapers 4K Phone

Gambar
Make your device cooler and more beautiful. Search free anime wallpapers on zedge and personalize your phone to suit you. Anime wallpaper is a free app that has a large collection of 4k (uhd | ultra hd) as well as full hd (high definition) anime images and home screen anime . || soy tu amigo háblame al dm || sigo a mis seguidores. 1080x2280 anime wallpapers for one plus 6,huawei p20,honor view 10,vivo y85,oppo f7,xiaomi mi a2 devices. 42 Aesthetic Wallpaper Anime On Wallpapersafari from cdn.wallpapersafari.com Anime wallpaper app designed specifically for anime lovers. It contains over 1 million wallpaper collection from 1000+ anime to browse wallpapers. Make your device cooler and more beautiful. Anime wallpaper is a free app that has a large collection of 4k (uhd | ultra hd) as well as full hd (high definition) anime images and home screen anime . Download anime wallpaper...

Widget HTML Produk

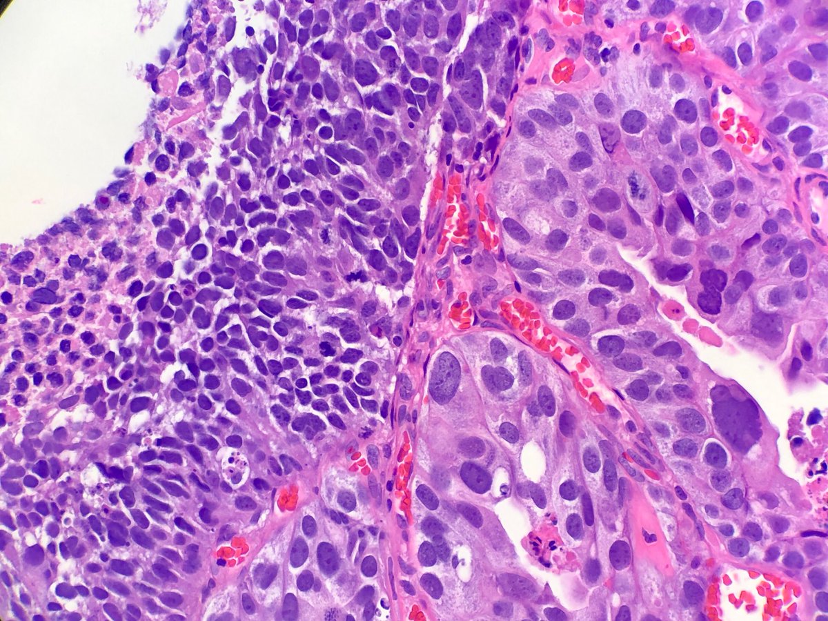
39+ Small Cell Neuroendocrine Carcinoma Bladder Pics

39+ Small Cell Neuroendocrine Carcinoma Bladder Pics. Unexplained weight gain or loss. Small cell neuroendocrine carcinoma title kidney.

Genetic And Pathologic Characteristics Of Small Cell Bladder Cancer Consult Qd
Genetic And Pathologic Characteristics Of Small Cell Bladder Cancer Consult Qd from consultqd.clevelandclinic.org
Immunohistochemical staining, small cell carcinoma, bladder. Small cell (oat cell) neuroendocrine tumors were first described in the bronchopulmonary tract 1. The demographic profile of sccb is similar to that of patients with bladder transitional cell carcinoma (tcc).

Immunohistochemical staining, small cell carcinoma, bladder.

Patient's presentation may correspond to bladder tumors but may exhibit characteristic features of. Immunohistochemically, bladder small cell carcinomas typically show reactivity to neuroendocrine markers (cd56 71%, synaptophysin 64%, and chromogranin a 29%). Immunohistochemical staining, small cell carcinoma, bladder. The clinical behavior is aggressive and prognostic outcome is very poor in such cases.

Komentar

Postingan populer dari blog ini

28+ Anime Wallpapers 4K Phone

View Honest Car Payment UK

24+ Hopkinsville Car Dealership Pictures